A kijelző mérete túl kicsi az esettanulmány optimális megjelenítéshez. Kérjük, hogy legalább 768px szélességű kijelzőt használjon!

felső animált kör
alsó animált kör

Bevezetés

Interaktív edukációs anyagunkban lépésről lépésre vezetjük végig olvasóinkat egy beteg történetén.

Az esetleírás egyes pontjaiban lehetősége lesz a terápiás döntésekkel kapcsolatban ismereteit, tudását tesztelni a feltett kérdések alapján. A válaszai után minden esetben meg fog jelenni a legfrissebb szakmai ajánlásoknak, klinikai kutatásoknak és a termékek alkalmazási előírásainak megfelelő helyes válasz.

Célunk az Önök ismeretének frissítése, illetve Önök megerősítése abban, hogy az MVT kezelésében naprakész tudással rendelkeznek.

(A válaszokat nem mérjük, statisztikát nem készítünk belőle, a válaszadással többször lehet próbálkozni!)

Amennyiben készen áll, kezdhetünk is!

lefelé mutató nyíl

Esetleírás

A 61 éves férfit a tüdőgondozó utalta kórházba amoxicillin kezelés ellenére sem gyógyuló jobb oldali pneumónia miatt.

Főbb panaszai:

  • 3 hete kezdődött és többször visszatérő láz
  • száraz ingerköhögés
  • változó intenzitású, szúró mellkasi fájdalom

Anamnézis:

  • gyógyszeresen karbantartott esszenciális hipertónia
  • 35 éven keresztül napi 15-20 szál cigarettát szívott, de 5 éve abbahagyta
  • ezt követően meghízott, jelenleg 89 kg
  • nehézlégzést, vérköpést nem tapasztalt.

Fizikális vizsgálat: - alsó végtagi kp. fokú varikozitás mindkét oldalon

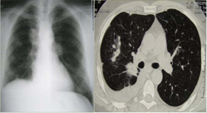
Mellkasröntgen felvétel:

  • a jobb tüdőben centrálisan 5 x 3 cm-es elmosódott szélű, inhomogén karéjozott árnyéktöbblet, emellett a jobb tüdőben a középső tüdőmezőben egy 2,5 x 3 cm-es lobulált inhomogén árnyék volt látható.
kép egy tüdőről

A CT felvétel a centrális terime mellett a bifurkációs carina alatt kórosan megnagyobbodott nyirokcsomót mutatott, a jobb tüdőben többgócból álló infiltrátum volt igazolható. A bronchoszkópos mintavétel patológiai eredménye adenocarcinoma volt.

A laboratóriumi vizsgálatok jó vesefunkciót (kreatinin-clearance 135 ml/perc) normál tartományban lévő trombocitaszámot (240 G/l) mutattak.

Az elvégzett immunhisztokémiai vizsgálatok EGFR, ALK, KRAS negativitás mellett PD-L1 90% pozitivitást mutattak.

kép

Az onkoteam a beteg jó általános állapotát figyelembe véve a IV. Stádiumú tüdődaganat kezelésére: Pembrolizumab – Pemetrexed – Carboplatin terápiát javasolt. A kezelést kórházi osztályon kezdték meg.

Tromboprofilaxist nem kapott.

lefelé mutató nyíl
esettanulmány kép

Indokolt lett volna a betegnél
tromboprofilaxis adása?

helyes válasz rossz válasz

Kiértékelés

„Az onkológiai betegekben végzendő tromboprofilaxis alapja, hogy a daganatok prokoaguláns tényezők sorát (szöveti faktor, tumor prokoaguláns) képezhetik, a radio- és/vagy kemoterápia, endokrin kezelés egyes formái önmagukban is trombogének, továbbá az egyéb komorbid tényezők (fekvés, infekció, sebészi beavatkozás, életkor stb.) fokozott jelentőségre tesznek szert.
Különböző daganatok esetében változik a trombózis kockázat, amely különösen magas emlő rák + antiösztrogének, prosztata rák kezelésekor, de jelentős a trombogenitás az ovárium, az agy, a hasnyálmirigy, a vastagbél, a tüdő, a gyomor daganatai, egyes limfómák és leukémiák esetén is.
A tromboembólia ismétlődésének veszélye és súlyossága is nagyobb daganatos betegekben.„1

Referencia:

1. https://docplayer.hu/107893689-Az-egeszsegugyi-miniszterium-szakmai-iranyelve-a-thromboemboliak-megelozese-es-kezelese.html(16.oldal. 3.5.12.)

lefelé nyíl

Hogyan állapítható meg a
tromboprofilaxis
szükségessége?

helyes válasz rossz válasz

Kiértékelés

A hazai Szakmai Irányelv és a nemzetközi guideline-ok is a kockázatfelmérésre rizikó besoroló kérdőíveket ajánlanak.

Számos kockázatfelmérési modell létezik:

  • Losonczy és munkatársai modellje2
  • Khorana módosított rizikófelmérő modellje3
  • R. Autar rizikókérdőíve4
  • Prof. dr. István Lajos rizikókérdőíve5

Német Konszenzus (2015.) állásfoglalása: 6

3.2.2. Tromboprofilaxis a nem operabilis daganatos betegeknél

  • a daganatos betegség miatt kórházban kezelt betegeknél tromboprofilaxist kell alkalmazni
  • a tromboprofilaxist kiváltképpen kismolekulasúlyú heparinnal kell végezni
  • a tromboprofilaxist a teljes kórházi tartózkodás ideje alatt folytatni kell
  • a tromboprofilaxist a teljes kórházi tartózkodás ideje alatt folytatni kell

Referencia:

2. Losonczy, Nagy, Tar: A kórházi és az ambuláns kemoterápiában részesülő onkológiai betegek vénás thromboemboliaprofilaxisának aktuális kérdései. Orvosi Hetilap 2016/157. évf. 6.sz. http://real.mtak.hu/35892/1/650.2016.30357.pdf

3. https://www.researchgate.net/publication/5636019_Development_and_validation_of_a_predictive_model_for_chemotherapy-associated_thrombosis

4. https://geriatrictoolkit.missouri.edu/cv/DVT/Autar-DVT-scale-article.pdf

5. Prof. Dr. Lajos István: Tromboembolia: a megelőzhető sorscsapás „(2002 Melánia Kiadó) című könyvében.

6. S3 Leitlinie Prophylaxe der venöse Thromboemboli (VTE) https://www.awmf.org/uploads/tx_szleitlinien/003-001l_S3_VTE-Prophylaxe_2015-12.pdf

lefelé nyíl

Milyen profilaxist
alkalmazott volna?

helyes válasz rossz válasz

Kiértékelés

Korábbi ajánlások még nem zárták ki a használatukat daganatos betegeknél, azonban a tapasztalat szerint ebben a betegcsoportban igen nehéz a megfelelő INR érték beállítása7, tehát a betegek fokozottan ki vannak téve a vérzés és/vagy a trombózis veszélyének8, a rendszeres vérvételi nehézségekről nem beszélve, ezért ebben a betegcsoportban már hosszabb ideje az LMWH-k a javasolt profilaktikus szerek.9

Referencia:
7. Hutten BA, et al. J Clin Oncol 2000;18:3078-83
8. Roderick P et al. Towards evidence-based guidelines for the prevention of venous thromboembolism: systematic reviews of mechanical methods, oral anticoagulation, dextran and regional anaesthesia as thromboprophylaxis. Health Technology Assessment Volume: 9, Issue: 49.
9. A thromboemboliák kockázatának csökkentése és kezelése Az Egészségügyi Minisztérium Szakmai Irányelve (2009. 47.o.)https://old-kollegium.aeek.hu/conf/upload/oldiranyelvek/TRANSZF_thromboemboliak%20kockazatanak%20csokkenteserol%20es%20kezeleserol_mod0_v0.pdf

lefelé nyíl

Kiértékelés

„Elsődleges megelőzés: A megelőzésre (és kezelésre) a nagy VTE kockázatnak megfelelő LMWH dózis ajánlott.”9

Referencia:

9. A thromboemboliák kockázatának csökkentése és kezelése Az Egészségügyi Minisztérium Szakmai Irányelve (2009. 47.o.)https://old-kollegium.aeek.hu/conf/upload/oldiranyelvek/TRANSZF_thromboemboliak%20kockazatanak%20csokkenteserol%20es%20kezeleserol_mod0_v0.pdf

lefelé nyíl

Kiértékelés

A direkt orális antikoagulánsoknak jelenleg nincs a törzskönyvezett indikációjuk között a daganatos betegek tromboprofilaxisa.10,11,12,13

Referencia:

10. Eliquis alkalmazási előírás
11. Lixiana alkalmazási előírás
12. Pradaxa alkalmazási előírás
13. Xarelto alkalmazási előírás

lefelé nyíl

Helyes kiértékelés megtekintése

popup bezárás

Kiértékelés

„Elsődleges megelőzés: A megelőzésre (és kezelésre) a nagy VTE kockázatnak megfelelő LMWH dózis ajánlott.”9

lefelé mutató nyíl

Esetismertetés
folytatása

A kombinációs kemo- és immunterápia megkezdése után a beteg hányásra és hasmenésre panaszkodott kezelőorvosának. A mellékhatások csökkentése érdekében az orvosa a pemetrexed adagját csökkentette, melynek következtében a beteg tünetei mérséklődtek.

6 héttel a kezelés megkezdése után jobb alsó végtagi fájdalmat érzett, a fizikális vizsgálatkor enyhe fokú körfogatdifferenciát lehetett tapasztalni, a Homans-tünet pozitív volt. A color Doppler UH. vizsgálat a jobb v.femoralis supeficialis teljes, a poplitea részleges elzáródását mutatta. A rosszabbodó általános állapota, fokozódó nehézlégzése miatt intenzív osztályra helyezték át.



kép egy tüdőről
lefelé mutató nyíl
esettanulmány kép

Milyen kezelést alkalmazna?

helyes válasz rossz válasz

Kiértékelés

Kialakult VTE kezdeti kezelése14

a) LMWH ajánlott kezdeti kezelésként olyan daganatos VTE-s betegeknél, akiknek a CC-e ≥30 ml/perc. Előnyök: az LMWH-k könyebben használhatók, mint az UFH-k. Napi egyszeri alkalmazású LMWH ajánlott, hacsak a beteg a karakterisztikájából kifolyólag (pl. törékeny betegek, akiknél fennáll a haemorraghia veszélye) nem igényli a napi 2x-i alkalmazásút. (1B szint)

b) Azoknál a daganatos VTE-s betegeknél, akiknél nem áll fenn a gasztrointesztinális- vagy hugyúti vérzés veszélye rivaroxaban (az első 10 napban) vagy edoxaban (legalább 5 napos parenterális antikoagulációt követően) alkalmazása javasolt kezdő terápiaként, amennyiben a CC ≥30 ml/perc. (1B szint)

c) UFH szintén alkalmazható kezdeti terápiaként, amennyiben az LMWH-k vagy a DOAC-ok kontraindikáltak, illetve nem elérhetőek. (2C szint)

d) A fondaparinux szintén alkalmazható kezdeti kezelésként daganatos VTE-s betegeknél. (2D szint) Előnyök: a fondaparinux használata egyszerűbb, mint az UFH-é.

Korai (6 hónapig) és hosszú távú (6 hónapon túli) fenntartó kezelés14

a) Az LMWH-k a preferáltak a K-vitamin antagonistákkal szemben olyan daganatos VTE-s betegeknél, akiknek a CC-e ≥30 ml/perc. (1A szint)

b) A DOAC-ok javasoltak olyan daganatos VTE-s betegeknél, akiknek a CC-e ≥30 ml/perc, amennyiben nincsen gyógyszer-gyógyszer kölcsönhatás vagy gasztrointesztinális felszívódási zavar. Alkalmazásuk elővigyázatosságot kíván olyan betegeknél, akiknek emésztőrendszeri rosszindulatú daganatuk van, különösen a felső gyomor-bél traktust érintő rosszindulatú daganatos megbetegedéseknél, minthogy a rendelkezésre álló adatok megnövekedett gasztrointesztinális vérzés kockázatát mutatják az edoxaban és rivaroxaban esetében.

c) Az LMWH-kat és a DOAC-okat min. 6 hónapig kell használni. (1A szint)

d) 6 hónap elteltével a kezelés (LMWH, DOAC vagy K-vitamin antagonista) abbahagyásáról vagy folytatásáról egyénileg kell dönteni, az előny-kockázat arány, a tolerálhatóság, a gyógyszer elérhetőség, a betegek preferenciája és a rák aktivitását alapul véve.


A DOAC-okkal szembeni további érvek:

  • Polimedikált betegeknek sok gyógyszert kell bevenni. Minél több gyógyszert szed rendszeresen egy beteg, annál nagyobb az új orális gyógyszerekkel szembeni non-compliance.15

  • Egy magyar betegek körében végzett vizsgálatban a betegek 65 %-a szedett 3-nál több gyógyszert naponta (3-8), 41 %-uk nem akart újabb tablettát.16

Referencia:

14. D Farge et. Al and the ITAC advisory panel: 2019 international clinical practice guidelines for the treatment and prophylaxis of venous thromboembolism in patients with cancer. Lancet Oncol 2019

15. Benner J et al. Am J Health Syst Pharm 2009;66:1471-7

16. dr. Lantos Zoltán. LMWH otthon. Kórház 2009 1-2.

lefelé nyíl

Napi 1x-i vagy 2x-i adagolású
LMWH-t alkalmazna, ha
amellett döntött?

helyes válasz rossz válasz

Kiértékelés

A legújabb ITAC ajánlás szerint:
Napi egyszeri alkalmazású LMWH ajánlott, hacsak a beteg a karakterisztikájából kifolyólag (pl. törékeny betegek, akiknél fennáll a haemorraghia veszélye) nem igényli a napi 2x-i alkalmazásút. (1B szint)14

Magyarországon elérhető napi 1x-i adagolású LMWH-k:

Fraxodi (nadroparin)17

  • SC naponta egyszer, 171 anti-Xa NE/ttkg (testtömeghez illesztett adagolás)

  • A Fraxodi 2x annyi NE-t tartalmaz, mint a napi 1x-i adagolású Fraxiparine

  • A Fraxodi biztonsági hengerrel ellátott fecskendővel rendelkezik a véletlenszerű tűszúrások megelőzése céljából.18


Clexane 8000 és 10000 NE és Clexane Forte19

  • SC naponta egyszer, 150 NE/ttkg (1.5 mg/kg) a VTE kiújulásának szempontjából alacsony rizikójú betegnél kell alkalmazni.

  • A Clexane Forte 1,5x annyi NE-t tartalmaz, mint a napi 1x-i adagolású Clexane.


Fragmin 7500 NE/0,3 ml, 10000 NE/0,4 ml, 12500 NE/0,5 ml, 15000 NE/0,6 ml, 18000 NE/0,72 ml20

  • Napi 1-szeri szubkután injekció formájában – vérzésveszély nélküli betegeknek: 200 NE/ttkg. A napi dózis maximálisan 18 000 NE lehet.

Referencia:

14. D Farge et. Al and the ITAC advisory panel: 2019 international clinical practice guidelines for the treatment and prophylaxis of venous thromboembolism in patients with cancer. Lancet Oncol 2019

17. Fraxodi alkalmazási előírás (2018. július 2.)

18. Fraxodi betegtájékoztató (2018. július)

19. Clexane és Clexane Forte alkalmazási előírás (2018. május 23.)

20. Fragmin alkalmazási előírás (2013. március 31.)

lefelé nyíl

Esetismertetés
folytatása

A beteg Fraxodi kezelést kapott napi 1x-i 0,8 ml-es (15200 NE) dózisban.

A beteg állapota a kezelés megkezdését követően javult. Az 1 hetes kontroll vizsgálat a D‑dimer szint csökkenését mutatta, az UH felvételen rekanalizáció volt látható a korábban elzárt vénában. A beteg panaszai csökkentek, felmerült otthonába való hazabocsátása.

esettanulmány kép

Meddig folytatná a
hazabocsátott betegnél a
Fraxodi kezelést?

helyes válasz rossz válasz

Kiértékelés

A legújabb ITAC ajánlás szerint:14
c) Az LMWH-kat és a DOAC-okat min. 6 hónapig kell használni. (1A szint)

d) 6 hónap elteltével a kezelés (LMWH, DOAC vagy K-vitamin antagonista) abbahagyásáról vagy folytatásáról egyénileg kell dönteni, az előny-kockázat arány, a tolerálhatóság, a gyógyszer elérhetőség, a betegek preferenciája és a rák aktivitását alapul véve.

Referencia:

14. D Farge et. Al and the ITAC advisory panel: 2019 international clinical practice guidelines for the treatment and prophylaxis of venous thromboembolism in patients with cancer. Lancet Oncol 2019



lefelé nyíl
felfelé nyíl

Miért ideális megoldás a Fraxodi a daganatos betegek trombózis profilaxisában?

  • A teljes terápiás dózist tartalmazza 1 injekcióban.17
  • Használata összhangban van a nemzetközi irányelvekkel.21
  • A hatásossága mellett – szignifikánsan kevesebb hemorrágiás szövődményt okoz.22
  • Használata növeli a beteg kezeléssel kapcsolatos adherenciáját.23
  • Egyedülálló biztonsági hengerrel rendelkezik, mely elzárja a tűt az injekció beadása után, így megelőzhetőek a tűszúrásos balesetek.18
  • Naponta egyszer alkalmazva ugyanolyan hatásos és biztonságos, mint a naponta kétszer adott Fraxiparine.24
  • Az egyetlen LMWH, amely farmakokinetikai vizsgálatban kimutatta, hogy a napi egyszeri és kétszeri adagolási séma hasonló biohasznosulással rendelkezik.25
  • Kalcium-sót tartalmaz.17
  • Az injekció helyén tapasztalt jobb tolerálhatóságában szerepet játszhat a kationos só kompozíciója.26
  • Kedvezőbb betegtérítési díj a napi 2x-i adagolású LMWH-khoz képest.27


Referencia:

17. Fraxodi alkalmazási előírás (2018. július 2.)

18. Fraxodi betegtájékoztató (2018. július)

21. Kearon C, Akl EA, Comerota AJ, Prandoni P, Bounameaux H, Goldhaber SZ et al. Antithrombotic therapy for VTE disease: Antithrombotic Therapy and Prevention of Thrombosis, 9th ed: American College of Chest Physicians Evidence-Based Clinical Practice Guidelines. Chest 2012 Feb;141(2 Suppl):e419S-e496S. doi: 10.1378/chest.11-2301.

22. Dolovich LR, Ginsberg JS, Douketis JD, Holbrook AM, Cheah GA Meta-analysis Comparing Low-Molecular-Weight Heparins With Unfractionated Heparin in the Treatment of Venous Thromboembolism. Arch Intern Med. 2000;160:181-188

23. Van der Wall, A.Kolock.Higher Adherence to treatment with LMWH nadroparin than enoxaparin becouse of side effects of cancer associated venous thromboembolism. HemaSphere 2018 2:1

24. Charbonnier BA et al: Comparison of a once daily with a twice daily subcutaneous low molecular weight heparin regimen in the treatment of deep vein thrombosis. Thromb Haemost 1998; 79: 897-901.

25. Lagerstedt CI, Olsson CG, Fagher BO, Oqvist BW, Albrechtsson U: Need for long-term anticoagulant treatment in symptomatic calf-vein thrombosis. Lancet 1985;2:515-8

26. Billon N, et al. Br J Clin Pharmacol 1994; 37:395–397.

27. OEP Pupha törzs (2020. március 1.)

lefelé nyíl
lefelé nyíl

Összefoglaló

A vázolt esettörténetben a 61 éves tüdődaganatos beteg a fennálló kumulált rizikófaktorai ellenére sem kapott tromboprofilaxist, habár ennek szükségessége bármely kockázatfelmérő kérdőívvel vagy score táblázattal kimutatható lett volna.

A kezelése közben a szükséges profilaxis elmaradásának következményeként kialakult mélyvénás trombózis hatékony kezelésére egyedül az LMWH volt a megfelelő megoldás, hiszen a kemoterápia okozta hányás, hasmenés bármely orális készítmény használatát kontraindikálta.

A betegnél alkalmazott napi 1x-i Fraxodi terápia eredményesnek bizonyult, megadta a lehetőséget, hogy a beteg otthonába távozzon és folytassa a kezelést a szükséges ideig.

A szakmai irányelvek is egyetértenek abban, hogy a daganatos betegek - számos ok miatt - kiemelten magas kockázatúnak számítanak a tromboembóliás szövődmények szempontjából.

A szerző meggyőződése, hogy az egyéni kockázatfelmérés alapján alkalmazott tromboprofilaxis – amelynek az elsődlegesen ajánlott készítménye az LMWH – hatékony védelmet biztosít az MVT kialakulásával szemben.

Az esettanulmányt készítette:
Dr. Farkas György sebész, baleseti sebész szakorvos, egészségügyi szakközgazdász
Pharmakadémia Oktatási és Tanácsadó KFT.
Ügyvezető Igazgató

lefelé nyíl